根据发表在《临床肿瘤学杂志》1上的一项1期队列扩展研究(NCT02496208)的发现,单独使用卡波扎替尼(Cabometyx)和nivolumab (Opdivo)或联合使用伊普利木单抗(Yervoy)治疗...
2025.03.12 查看更多爱诺头条
AMCS Headline News
根据肾细胞癌(RCC)患者的综合疗效和安全性暴露反应(er)分析结果,以FDA批准的1.34 mg起始剂量给药的Tivozanib (Fotivda)比降低的0.89mg剂量提供了更强的抗肿瘤活性,高...
2025.03.11 查看更多
根据2025年泌尿生殖系统癌症研讨会上提交的1/2期KEYMAKER-U03子研究03B (NCT04626518)的研究结果,在接受PD-L1抑制剂或VEGF TKI治疗或治疗后出现疾病进展的局部晚期或转...
2025.03.10 查看更多
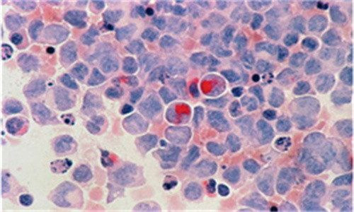
在解释P-BCMA-ALLO1的机制时,Dholaria说这种治疗是“一种现成的、以BCMA为靶点的CAR T细胞疗法。它与目前市场上的产品略有不同。它是由健康的捐献者T细胞制造的。大约7...
2025.03.09 查看更多
根据2025年移植和细胞治疗会议上提交的一项回顾性研究的数据,axatilimab-csfr (Niktimvo)联合ruxolitinib (Jakafi)加或不加belumosudil (Rezurock)的治疗方案导致慢性...
2025.03.08 查看更多
在2025年泌尿生殖系统癌症研讨会上提交的2期TIDE-A研究(NCT04698213)的最新发现进一步证明了在先前未经治疗的转移性肾细胞癌(RCC)患者中继续使用avelumab (Bavencio)作...
2025.03.07 查看更多
在一项正在进行的1期研究(NCT03802695)中,经过精密设计的异基因T细胞免疫疗法Orca-Q在接受HLA确定供体的异基因造血干细胞移植(HSCT)清髓性预处理的高危恶性血液病患者...
2025.03.06 查看更多
