高脂肪饮食会改变肠道细菌及患癌风险
发布日期:2023.09.09 08:12:00
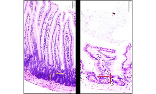
近几十年来,癌症在50岁以下人群中的患病率有所上升。一个可疑的原因是:肥胖率和高脂肪饮食的增加。

现在,索尔克研究所和加州大学圣地亚哥分校的研究人员发现,高脂肪饮食可以改变肠道细菌,并改变被这些细菌修饰的被称为胆汁酸的消化分子,使小鼠容易患上癌症。
在2023年8月22日发表在《细胞报告》上的这项研究中,研究小组发现,喂食高脂肪饮食的小鼠体内特定肠道细菌水平增加。他们发现,这些肠道细菌改变了胆汁酸池的组成,导致炎症等的发生以及细菌和胆汁酸的变化。
文章关键词:
有证据表明,与现有的更好的支持性护理相比,异基因造血细胞移植(HCT)提高了骨髓增生异常综合征(MDS)患者的总生存率。MDS是一种严重的血液病,但MDS是一种异质性疾病,与癌症相关的基因...
下一篇:一种新的靶向治疗有望用于相关癌症患者威尔康奈尔医学院(Weill Cornell Medicine)和纽约长老会(NewYork-Presbyterian)参与的一项国际3期临床试验发现,一种名为唑贝妥昔单抗(zolbetuximab)的新靶向治疗与标准化疗相结合,延...
-
美国国家儿童医院 美国国家儿童医院对爱诺美康转诊资质的认证。
-
西达赛奈医疗中心 西达赛奈医疗中心对爱诺美康转诊资质的认证
-
皇家马斯顿医院 爱诺美康与皇家马斯顿医院达成服务共识。
-
加州大学洛杉矶分校医学中心 加州大学洛杉矶分校医学中心(UCLA Health)与爱诺美康签署正式合作协议。
-
丹娜法伯癌症研究院 丹娜法伯/布列根和妇女医院癌症中心对爱诺美康转诊资质的认证。
-
麻省总医院(1) 麻省总医院对爱诺美康转诊资质的认证(NO.1页)。
-
麻省总医院(2) 麻省总医院对爱诺美康转诊资质的认证(NO.2页)。
-
辛辛那提儿童医院 辛辛那提儿童医院(美国2018-2019儿童肿瘤排名NO.1)对爱诺美康转诊资质的认证。

MD安德森癌症中心
丹娜法伯癌症研究院
辛辛那提儿童医院
克利夫兰医学中心
纪念斯隆凯特琳癌症中心
Mayo Clinic 梅奥诊所
麻省总医院
肺癌
乳腺癌
结肠癌
淋巴瘤
肉瘤
宫颈癌
卵巢癌
脑瘤
奥希替尼耐药,只剩3个月生存期,“笨办法”让我再次用上肺癌靶向药
晚期乳腺癌生命只剩6个月,她能逆袭吗?
为了多活10年,我带妈妈去美国治疗淋巴瘤
不认命 我带父亲去麻省总医院看肺癌
成功可以复制,美国这家医院再次治好晚期乳腺癌
肿瘤复发,我去美国看病的日子
北京淋巴瘤患者赴美治疗后,体内癌细胞完全消失
疫情之下,美国肿瘤专家弛缓晚期肠癌患者