生殖系中的两个基因对果蝇脑瘤的发展至关重要
发布日期:2024.05.26 10:32:00
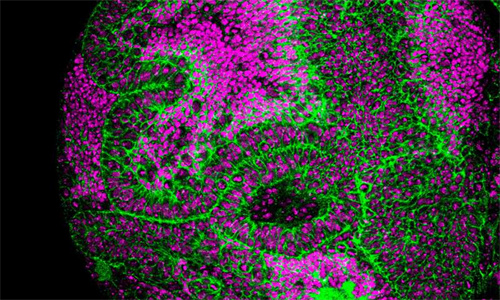
有机体中的每个细胞在其DNA中都携带着一套相同的遗传指令。然而,决定细胞是否发育成神经元、肌肉或任何其他特定细胞类型的因素在于特定细胞中特定基因的激活或失活。例如,在果蝇中,属于种系的TrxT和dhd基因——也就是说,它们分别参与精子和卵子的形成——在大脑中应该是不活跃的。

然而,由IRB Barcelona的ICREA研究员Cayetano González博士领导的科学家发现,TrxT和dhd对脑瘤的发展至关重要。抑制这两个基因中的任何一个都会导致肿瘤大小的部分减小,但是同时抑制这两个基因会导致显著更大的减小。
发表在《EMBO报告》杂志上的这项研究揭示了正常情况下不共表达的两个基因TrxT和dhd在果蝇的脑肿瘤中被意外激活。这种异常激活导致侵袭周围组织的侵袭性肿瘤的发展。此外,这项研究揭示了基因影响的差异,这取决于苍蝇是雄性还是雌性。
“这项研究揭示了与肿瘤发展有关的新种系基因,并强调了在癌症研究中考虑性别二态性(或性别差异)的重要性。我们的发现进一步表明,几个基因之间的合作可能会提供新的治疗策略,以便在未来更有效地治疗这种疾病,”González博士说。
文章关键词:
乳腺癌是全球女性最常见的癌症。随着发病率持续上升,迫切需要确定新的可改变的乳腺癌危险因素。由布里斯托尔大学领导的新研究表明,儿童时期较高的肥胖率会导致乳房组织形成密度较低,从而...
下一篇:半匹配家庭供体为接受骨髓移植的患者提供了相关结果对于患有急性淋巴细胞白血病(ALL)的成年人来说,异基因干细胞移植(通常称为骨髓移植)可能是生存所必需的。急性淋巴细胞白血病是一种起源于骨髓的癌症。但对于西班牙裔患者来说,在家庭内...
-
美国国家儿童医院 美国国家儿童医院对爱诺美康转诊资质的认证。
-
西达赛奈医疗中心 西达赛奈医疗中心对爱诺美康转诊资质的认证
-
皇家马斯顿医院 爱诺美康与皇家马斯顿医院达成服务共识。
-
加州大学洛杉矶分校医学中心 加州大学洛杉矶分校医学中心(UCLA Health)与爱诺美康签署正式合作协议。
-
丹娜法伯癌症研究院 丹娜法伯/布列根和妇女医院癌症中心对爱诺美康转诊资质的认证。
-
麻省总医院(1) 麻省总医院对爱诺美康转诊资质的认证(NO.1页)。
-
麻省总医院(2) 麻省总医院对爱诺美康转诊资质的认证(NO.2页)。
-
辛辛那提儿童医院 辛辛那提儿童医院(美国2018-2019儿童肿瘤排名NO.1)对爱诺美康转诊资质的认证。

MD安德森癌症中心
丹娜法伯癌症研究院
辛辛那提儿童医院
克利夫兰医学中心
纪念斯隆凯特琳癌症中心
Mayo Clinic 梅奥诊所
麻省总医院
肺癌
乳腺癌
结肠癌
淋巴瘤
肉瘤
宫颈癌
卵巢癌
脑瘤
奥希替尼耐药,只剩3个月生存期,“笨办法”让我再次用上肺癌靶向药
晚期乳腺癌生命只剩6个月,她能逆袭吗?
为了多活10年,我带妈妈去美国治疗淋巴瘤
不认命 我带父亲去麻省总医院看肺癌
成功可以复制,美国这家医院再次治好晚期乳腺癌
肿瘤复发,我去美国看病的日子
北京淋巴瘤患者赴美治疗后,体内癌细胞完全消失
疫情之下,美国肿瘤专家弛缓晚期肠癌患者