出国看病:各种癌症 常见腺癌的组织位置
发布日期:2019.03.19 14:33:00
出国看病机构爱诺美康介绍,绝大多数癌可被分为两类,分别反映与上皮细胞相关的两个重要的生物学功能。一些上皮细胞层的主要作用是封闭腔穴或管道的表面并且保护其下层细胞。这种上皮细胞发展而来的癌称为鱗状细胞癌。例如,覆盖皮肤和大部分口腔的上皮细胞会发生这类肿瘤。
各种癌症
| 常见腺癌的组织位置 | 常见鱗状细胞癌的组织位置 | 其他癌症 |
| 肺 | 皮肤 | 小细胞肺癌 |
| 肠 | 鼻腔 | 大细胞肺癌 |
| 乳腺 | 口咽 | 肝细胞癌 |
续表
| 常见腺癌的组织位置 | 常见鱗状细胞癌的组织位置 | 其他癌症 |
| 胰腺 | 喉 | 肾细胞癌 |
| 胃 | 肺 | 移行细胞癌(膀胱) |
| 食菅 | 食管 | |
| 前列腺 | 宫颈 | |
| 子宫内膜 | ||
| 卵巢 |
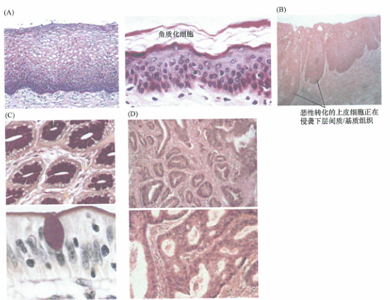
上皮细胞及其来源的癌根据正常上皮细胞的形态和功能及其来源的癌可以将上皮划分为几个亚型。本图展示了鳞状细胞癌和腺癌的起源。
(A)正常的鳞状上皮细胞呈扁平状,其作用是保护上皮细胞及其下面的组织不受管腔内物质的作用;负于皮肤,则足保护其不受外界有害物质的作用。子宫颈的鱗状上皮细胞(上)与皮肤(下)上皮细胞的组织排列十分相似,成熟的扁平细胞在更外屋,不断脱落(如皮肤 的角质化细胞),取而代之的是下层的次成熟细胞。
(B)在食管癌中,恶性转化的上皮细胞正在侵袭下层的祛质/间质组织。
(C)在某些组织中,上皮中的腺细胞通过分泌黏多糖来实现保护作用,在另一些组织中,它们分泌的蛋白质在管腔中起作用或者分布于身体中较远的位点。胃壁上的小m孔就是由黏液分泌细胞排列而成的(深红色,上图),在小肠上皮组织中(下图),单个的杯状黏液分泌细胞(紫色)被柱状上 皮细胞所包后者的作用是吸收水分。
(D)这些来自胃(上图)和结肠(下图)的腺癌都表现出了腺管 的特征,从这钱特征我们可以淸楚地看到,它们是从一些像图C所示的分泌型上皮细胞衍生而来的。
(Aand C,from B. Young et al., Wheater’s FunctionalHistology,4th ed. Edinburgh: Churchill Livingstone, 2003. B and D,from A.T.Skarin, Atlas of Diagnostic Oncology, 3rd ed. Philadelphia: Elsevier ScienceLtd., 2003.)
出国看病机构爱诺美康介绍还有许多上皮组织中存在特殊的具有分泌能力的细胞,它们可以释放分泌物到自身形成的导管或腔穴中。这种细胞来源的肿瘤称为腺癌。通常这些分泌物的作用是保护上 皮细胞层不受腔穴内物质的作用。肺和胃的上皮细胞所分泌的黏液层就分别保护其不受空气(及空气颗粒物)和胃酸的腐蚀作用。在某些器官,如肺、子宫、子宫颈 中,上皮细胞层能够发展为单纯的腺癌或鳞状细胞癌;而在更多的情况下,这些器官来 源的肿瘤会包含这两种类型的癌细胞。
文章关键词:出国看病
出国看病机构爱诺美康介绍,非上皮组织来源的癌症中,首大类来源于机体的各种结缔组织,它们都来源于胚胎的中胚层。这一类称为肉瘤的肿瘤,只占临床肿瘤的1%。它们来源于多种间质细胞,包括...
下一篇:芬太尼止痛药成为美国常被滥用和致命的药物两项新的研究表明,芬太尼是一种合成麻醉剂,也是美国阿片类药物相关过量致命流行病的主要参与者。美国疾病控制和预防中心的研究人员表示,阿片类药物OD致命人数在十年初开始...
根据2025年ASCO年会上提交的3期EMBer-3试验(NCT04975308)的数据,与内分泌治疗后经历疾病进展的雌激素受体(ER)阳性/HER2阴性晚期乳腺癌患者的标准护理内分泌治疗相比,使用imlunestrant(一种口服选择性雌激素受体...
出国看病:Fulvestrant 对转移性乳腺癌的 PFS 疗效显著根据2025年ASCO年会上公布的3期FINER试验(NCT04650581)数据,与安慰剂加氟维司汀相比,Ipatasertib联合氟维司汀显著延长了雌激素受体(ER)阳性、her2阴性转移性乳腺癌患者在一线CDK4/6抑制剂和芳香化酶抑制剂...
出国看病:术后 Nivolumab 加 SOC 延长了切除高危头颈癌的 DFS根据在2025年ASCO年会上公布的NIVOPOSTOP 3期试验(NCT03576417)的数据,在标准护理(SOC)顺铂和放疗的基础上添加辅助nivolumab (Opdivo),在复发风险高的切除的局部晚期头颈部鳞状细胞癌(LA-SCCHN)患者中,...
出国看病:纳武单抗在食管癌/GEJ切除术中能产生长期 DFS 益处来自3期CheckMate 577试验(NCT02743494)的5年随访数据表明,与安慰剂相比,在新辅助放化疗(CRT)后切除食管癌(EC)或胃食管结癌(GEJC)的患者中,辅助nivolumab (Opdivo)保持了无病生存(DFS)和无远处转...
出国看病:术前 PAXG 能扩展可切除部分特定胰腺癌的 EFS根据在2025年ASCO年会上公布的CASSANDRA 3期试验(NCT04793932)的最终结果,与mFOLFIRINOX(改良的5-氟尿嘧啶、亚叶酸钙、伊立替康和奥沙利铂)相比,PAXG(顺铂、nab-紫杉醇[Abraxane]、吉西他滨和卡培他滨)的...
-
美国国家儿童医院 美国国家儿童医院对爱诺美康转诊资质的认证。
-
西达赛奈医疗中心 西达赛奈医疗中心对爱诺美康转诊资质的认证
-
皇家马斯顿医院 爱诺美康与皇家马斯顿医院达成服务共识。
-
加州大学洛杉矶分校医学中心 加州大学洛杉矶分校医学中心(UCLA Health)与爱诺美康签署正式合作协议。
-
丹娜法伯癌症研究院 丹娜法伯/布列根和妇女医院癌症中心对爱诺美康转诊资质的认证。
-
麻省总医院(1) 麻省总医院对爱诺美康转诊资质的认证(NO.1页)。
-
麻省总医院(2) 麻省总医院对爱诺美康转诊资质的认证(NO.2页)。
-
辛辛那提儿童医院 辛辛那提儿童医院(美国2018-2019儿童肿瘤排名NO.1)对爱诺美康转诊资质的认证。

MD安德森癌症中心
丹娜法伯癌症研究院
辛辛那提儿童医院
克利夫兰医学中心
纪念斯隆凯特琳癌症中心
Mayo Clinic 梅奥诊所
麻省总医院
肺癌
乳腺癌
结肠癌
淋巴瘤
肉瘤
宫颈癌
卵巢癌
脑瘤
奥希替尼耐药,只剩3个月生存期,“笨办法”让我再次用上肺癌靶向药
晚期乳腺癌生命只剩6个月,她能逆袭吗?
为了多活10年,我带妈妈去美国治疗淋巴瘤
不认命 我带父亲去麻省总医院看肺癌
成功可以复制,美国这家医院再次治好晚期乳腺癌
肿瘤复发,我去美国看病的日子
北京淋巴瘤患者赴美治疗后,体内癌细胞完全消失
疫情之下,美国肿瘤专家弛缓晚期肠癌患者