美国就医:FDA批准Provenge作为对前列腺癌疫苗
发布日期:2019.09.24 11:17:26
一项研究表明,FDA批准的首个抗肿瘤疫苗,称为Provenge或sipuleucel-T。美国就医机构爱诺美康了解到,Provenge抗肿瘤疫苗能引起对前列腺酸性磷酸酶(PAP)的免疫反应,PAP是一种功能未知的酶类,在几乎所有的前列腺癌中均高水平表达和分泌。

美国就医机构爱诺美康介绍,该策略需要在体外将PAP和GM-CSF融合蛋白负载到从体内分离山的单核细胞上,然后回输细胞到起初提取获得这些细胞的患者体内(自体移植的步骤),目的是让这些改变的单核细胞诱导患者的T细胞和B细胞攻击表达PAP蛋白的癌细胞。
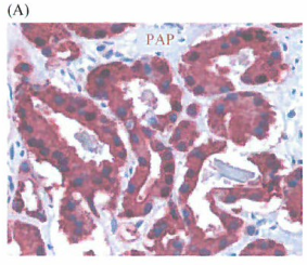
PAP(暗红色),这里用染料偶联的PAP单克隆抗体染色,在人的前列腺癌的导管细胞上强烈表达,而在机体的大部分其他组织中表达很弱。

单核细胞吸收PA2024重组蛋白大体上类似图中描述的被DC和B细胞摄取的抗原。此处,GM-CSF受体(左边)结合融合蛋白,信号传递驱动处理的单核细胞分化成活化的DC。与此同时抗体-受体复合物内化,在内吞小体中降解融合蛋白成寡肽。后面内容是假设寡肽负载到MHCII类蛋白(第三版块)和呈递到DC表面(右版块);此外MHCI类蛋白的呈递(未显示)也可能发生。此后,产生的抗原呈递DC能激活包含Tc细胞及B细胞的抗肿瘤获得性免疫应答。

美国就医机构爱诺美康介绍,使用荧光激活细胞分选技术,可以分选两种抗原足否共表达在同一个细胞上,从而知道是否PA2024融合蛋CJ物理性连接到DC上。每个红点代表一个细胞,染色的程度(代表细胞表面抗原的表达)在两个坐标都是以对数形式展示。流式分选显示,当卑核细胞和早期树突状细胞体外暴露于PA2024融合蛋白后,少部分淋巴细胞(右上)既表达单核细胞和DC的特征蛋白CDM,又表达PA2024蛋白,而大部分(左下)细胞两种蛋白都不表达,提示这些代表了芄他的淋巴细胞系,不能摄取PA204融合蛋白。
临床试验中,美国就医机构爱诺美康介绍,使用sipuleucel-T能显著延长入选组的包括临床上药物去势治疗抵抗(一种雄激素阻断治疗形式)的、症状轻且有远端转移的前列腺癌患者的中位生存期。sipuleucel-T治疗虽然显著延长了中位生存期,但结果都与安慰剂组一样发生疾病进展。
一项研究显示,BCG是一种减毒的活分枝杆菌,其作为一种免疫刺激剂在阻止人类膀胱癌进展中有明显的疗效。美国治病机构爱诺美康了解到,在那些仅经尿道切除术外科治疗后的患者中(红线),在治...
下一篇:PA2024的生长因子肿瘤免疫治疗研究一项研究实验,将PAP来源的抗原肽负载到,从患者提取的树突状细胞(DC)的MHCII蛋白上。出国就医机构爱诺美康了解到,进一步将PAP的C端与GM-CSF(粒细胞-巨噬细胞集落刺激因子)的N端融合形成重...
lu177 vipivotide tetraxetan;在前列腺特异性膜抗原(PSMA)阳性转移性激素敏感性前列腺癌(mHSPC)患者中,与单用激素治疗相比,加激素治疗在统计学上显著且具有临床意义的放射学无进展生存期(rPFS)获益,达...
PSMA PET 指导了 mCRPC 中基于镥的治疗及个体化使用据医学博士Evan Y. Yu说,随着放射性药物在治疗转移性去势抵抗性前列腺癌(mCRPC)患者的化疗后设置中获得牵引力,前列腺特异性膜抗原(PSMA) PET使用标准的发展可能有助于阐明这种治疗模式在疾病进展方面的理想作用...
美国看病:新辅助 Niraparib 不能产生实质性病理反应根据2025年美国泌尿协会年会期间提交的2期试点研究(NCT04030559)的结果,在计划的根治性前列腺切除术前使用新辅助尼拉帕利(Zejula)治疗未能在具有异源DNA损伤修复(DDR)改变的前列腺癌患者中产生完全或部分病理反...
有关晚期前列腺癌中甲磺酸亮丙瑞林变化的数据监管机构发布了一份为期75天的信函,声明根据PDUFA,用于晚期前列腺癌成年患者的3个月21mg甲磺酸亮丙瑞林(Camcevi)变体,上市批准的目标日期将是2025年8月29日。该应用基于3期试验的数据(NCT03261999)。荣誉奖是F...
达罗他胺加 ADT 是 mHSPC 中潜在的免化疗选择根据FRCS医学博士Fred Saad的说法,联合使用达洛他胺(Nubeqa)和雄激素剥夺疗法(ADT)而不添加多西他赛所表现出的疗效和安全性,可以为转移性激素敏感性前列腺癌(mHSPC)患者提供更个性化的治疗决策。在2024年ESMO大...
-
美国国家儿童医院 美国国家儿童医院对爱诺美康转诊资质的认证。
-
西达赛奈医疗中心 西达赛奈医疗中心对爱诺美康转诊资质的认证
-
皇家马斯顿医院 爱诺美康与皇家马斯顿医院达成服务共识。
-
加州大学洛杉矶分校医学中心 加州大学洛杉矶分校医学中心(UCLA Health)与爱诺美康签署正式合作协议。
-
丹娜法伯癌症研究院 丹娜法伯/布列根和妇女医院癌症中心对爱诺美康转诊资质的认证。
-
麻省总医院(1) 麻省总医院对爱诺美康转诊资质的认证(NO.1页)。
-
麻省总医院(2) 麻省总医院对爱诺美康转诊资质的认证(NO.2页)。
-
辛辛那提儿童医院 辛辛那提儿童医院(美国2018-2019儿童肿瘤排名NO.1)对爱诺美康转诊资质的认证。

MD安德森癌症中心
丹娜法伯癌症研究院
辛辛那提儿童医院
克利夫兰医学中心
纪念斯隆凯特琳癌症中心
Mayo Clinic 梅奥诊所
麻省总医院
肺癌
乳腺癌
结肠癌
淋巴瘤
肉瘤
宫颈癌
卵巢癌
脑瘤
奥希替尼耐药,只剩3个月生存期,“笨办法”让我再次用上肺癌靶向药
晚期乳腺癌生命只剩6个月,她能逆袭吗?
为了多活10年,我带妈妈去美国治疗淋巴瘤
不认命 我带父亲去麻省总医院看肺癌
成功可以复制,美国这家医院再次治好晚期乳腺癌
肿瘤复发,我去美国看病的日子
北京淋巴瘤患者赴美治疗后,体内癌细胞完全消失
疫情之下,美国肿瘤专家弛缓晚期肠癌患者