Xpll.2易位肾细胞癌的典型表现有哪些?
发布日期:2020.01.13 14:15:48
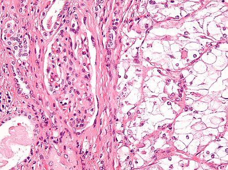
海外研究表明,Xpll.2易位肾细胞癌典型表现为具有乳头状结构、透明或嗜酸性胞质,海外看病机构爱诺美康了解到,Xpll.2易位肾细胞癌是一种成人中少见的肿瘤(1.6%),是20%〜45%的儿童和年轻成人肾癌的原因。易位涉及与散发性乳头状肾癌相关的XpU.2和lq2L2的易位,首个报道这种易位是在一个两岁的儿童,易位在一个新基因PRCC和螺旋-环-螺旋转录因子基因TFE3之间产生融合,TEE3是转录因子MiT家族成员。
编码的融合蛋白称为PRCC-TFE3,作为一个比本来TFE3更强的转录活化因子发挥作用,而这些肿瘤中大部分内源的TFE3的转录产物丟失。由于染色体易位导致的正常TFE3转录控制失调控对于散发性乳头状肾细胞癌的发展可能是重要的。

Xpll.2易位的肾细胞癌涉及至少5种不同的TFE3基因融合,导致TFE3的转录活性失调,包括NonO-TFE3、PSF-TFE3、CLTC-TFE3和ASPL-TFE3。
海外看病机构爱诺美康介绍,Tsuda等表明,这些TFE3融合蛋白是MET基因的强转录活化子,导致不适当的MET介导的细胞增殖和侵袭性生长。考虑到TFE3融合蛋白表达生理性作用,靶向MET可能是Xpll.2易位性肾细胞癌有效的治疗。

另外,MiT家族成员TFEB和a基因的融合在携带t(6;ll)(p21;ql3)染色体易位的肾肿瘤中发现。
海外看病机构爱诺美康介绍,近来报道了首例涉及MiT家族第三个成员MITF,它的激活突变在患肾肿瘤的家族成员的生殖细胞被发现。
Birt-Hogg-Dub6(BHD)综合征是罕见的常染色体显性遗传肿瘤综合征。国外看病机构爱诺美康了解到,BHD综合征具有毛囊良性肿瘤(纤维囊性瘤)、肺囊肿及自发性气胸等特征,发生肾癌的风险增加7倍...
下一篇:出国看病:遗传性乳头状肾细胞癌遗传性乳头状肾细胞癌1型(HPRC)是常染色体显性遗传性肿瘤综合征,受累个体易患多灶性双侧乳头状I型肾癌。出国看病机构爱诺美康了解到,HPRC在50〜60岁起病,呈现年龄依赖性外显,60岁时外显...
-
美国国家儿童医院 美国国家儿童医院对爱诺美康转诊资质的认证。
-
西达赛奈医疗中心 西达赛奈医疗中心对爱诺美康转诊资质的认证
-
皇家马斯顿医院 爱诺美康与皇家马斯顿医院达成服务共识。
-
加州大学洛杉矶分校医学中心 加州大学洛杉矶分校医学中心(UCLA Health)与爱诺美康签署正式合作协议。
-
丹娜法伯癌症研究院 丹娜法伯/布列根和妇女医院癌症中心对爱诺美康转诊资质的认证。
-
麻省总医院(1) 麻省总医院对爱诺美康转诊资质的认证(NO.1页)。
-
麻省总医院(2) 麻省总医院对爱诺美康转诊资质的认证(NO.2页)。
-
辛辛那提儿童医院 辛辛那提儿童医院(美国2018-2019儿童肿瘤排名NO.1)对爱诺美康转诊资质的认证。

MD安德森癌症中心
丹娜法伯癌症研究院
辛辛那提儿童医院
克利夫兰医学中心
纪念斯隆凯特琳癌症中心
Mayo Clinic 梅奥诊所
麻省总医院
肺癌
乳腺癌
结肠癌
淋巴瘤
肉瘤
宫颈癌
卵巢癌
脑瘤
奥希替尼耐药,只剩3个月生存期,“笨办法”让我再次用上肺癌靶向药
晚期乳腺癌生命只剩6个月,她能逆袭吗?
为了多活10年,我带妈妈去美国治疗淋巴瘤
不认命 我带父亲去麻省总医院看肺癌
成功可以复制,美国这家医院再次治好晚期乳腺癌
肿瘤复发,我去美国看病的日子
北京淋巴瘤患者赴美治疗后,体内癌细胞完全消失
疫情之下,美国肿瘤专家弛缓晚期肠癌患者