Birt-Hogg-Dub6(BHD)综合征有哪些?
发布日期:2020.01.13 14:33:24
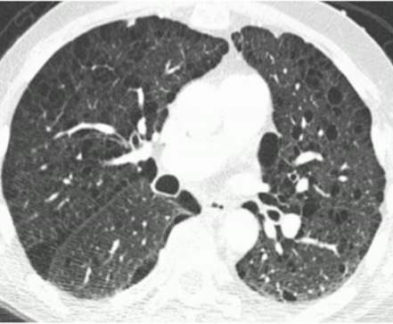
Birt-Hogg-Dub6(BHD)综合征是罕见的常染色体显性遗传肿瘤综合征。国外看病机构爱诺美康了解到,BHD综合征具有毛囊良性肿瘤(纤维囊性瘤)、肺囊肿及自发性气胸等特征,发生肾癌的风险增加7倍。BHD患者极常见的表现是纤维囊性瘤和肺囊肿(>85%)。30%的BHD患者发生不同组织学类型的肾肿瘤(平均年龄为48〜50岁),常见的是肾嫌色细胞癌和肾杂合性嗜酸细胞瘤。从BHD综合征发展而来的肾癌也有转移性的,但不常见。

Birt-Hogg-Dub6综合征的遗传学:Folliculin基因
BHD家族的连锁分析显示,该疾病基因定位于17号染色体短臂并鉴定了BHD基因,FLCN几乎所有的BHD相关的FLCN基因突变均可导致截短BHD蛋白、Folliculin(FLCN)的突变,包括插入或缺失、无义和剪接位点的突变,但近来报道在保守的氨基酸位点也存在错义突变。国外看病机构爱诺美康介绍,在较大的BHD队列中FLCN基因突变率检测接近90%,生殖细胞突变散布在整个FLCN基因全长,没有明显的基因型-表型相关性。Vocke等在70%BHD肾癌中鉴定了体细胞突变的第二次“打击”或杂合性丢失,支持FLCN作为一个抑癌基因,双拷贝失活个体易患肾肿瘤。肾嫌色细胞癌也检测到低频的FLCN的突变(11%),其他组织类型的肾细胞癌中FLCN突变很少。
Birt-Hogg-DubS蛋白的功能
FLCN基因编码一个新蛋白FLCN,它没有特征性的功能域。Baba等鉴定了一个新的FLCN的相互作用蛋白FNIP1,并表明FNIP1和5'-磷酸腺苷(AMP)激活的蛋白激酶(AMPK)的丫亚单位相互作用,AMPK是细胞内的能童感应因子,通过TSC1/2负性调控蛋白翻译和细胞增殖的重要开关mTOR起作用。FLCN第二个相互作用蛋白FNIP2也被鉴定,并显示与FNIP1相似的生化特性,FLCN通过FNIP1/2,可能在AMPK-TSCl/2-mTOR信号通路中发挥作用。国外看病机构爱诺美康介绍,体内模型和BHD患者的研究数据支持FLCN失活将会导致mTOR的活化,也有数据支持mTOR的抑制,因此提出假设,FLCN与mTOR的交互作用和调控机制依赖不同的条件。
在遗传性平滑肌瘤病及肾细胞癌患者的淋巴母细胞系中,富马酸水合酶(FH)突变可以导致FH活性下调20%〜80%。美国就医机构爱诺美康了解到,与截短突变相比,遗传性平滑肌瘤病及肾细胞癌(HLRCC)...
下一篇:Xpll.2易位肾细胞癌的典型表现有哪些?海外研究表明,Xpll.2易位肾细胞癌典型表现为具有乳头状结构、透明或嗜酸性胞质,海外看病机构爱诺美康了解到,Xpll.2易位肾细胞癌是一种成人中少见的肿瘤(1.6%),是20%〜45%的儿童和年轻成...
卡米奇和刘易斯博士讨论了刘易斯博士的MEN-1诊断,如何影响了他的职业生涯以及寻求患者观点的重要性。这是如何建立我,由世界著名的肿瘤学家D. Ross Camidge医学博士主持,是一个播客,专注于所有涉及癌症、癌症...
长期 Darolutamide 在 mCRPC 中具有良好的耐受性Darolutamide (Nubeqa) 被发现在转移性去势抵抗性前列腺癌 (mCRPC) 患者中,具有良好的安全性和耐受性,这些患者参加了 1 期 ARAFOR 研究 (NCT01784757) 并接受了超过 4 年的延长治疗。这些数据,由卡迪夫大学和...
林奇综合症是遗传病, 林奇综合征是如何遗传的?林奇综合症是遗传病,这意味着癌症风险可以在家庭中世代相传。美国看病机构爱诺美康了解到,这些类型的突变称为遗传突变或种系突变,与DNA失配修复有关的几种基因的改变与林奇综合征有关,它们包括MLH1,MSH2,MS...
少年息肉综合征(JPS)是如何遗传给下一代的?通常,每个细胞的每个基因都有2个拷贝:1个是从母亲那里继承的,1个是从父亲那里继承的。海外看病机构爱诺美康了解到,少年息肉综合征(JPS)遵循常染色体显性遗传模式,其中仅需要在该基因的1个拷贝中发生突变即...
HMPS疾病是如何遗传的,如何可以预防?通常,每个细胞的每个基因都有2个拷贝:1个是从母亲那里继承的,1个是从父亲那里继承的。出国就医机构爱诺美康了解到,很少会发现带有HMPS的家族携带GREM1基因突变。在这些家庭中,基因检测可以帮助确定哪些人有...
-
美国国家儿童医院 美国国家儿童医院对爱诺美康转诊资质的认证。
-
西达赛奈医疗中心 西达赛奈医疗中心对爱诺美康转诊资质的认证
-
皇家马斯顿医院 爱诺美康与皇家马斯顿医院达成服务共识。
-
加州大学洛杉矶分校医学中心 加州大学洛杉矶分校医学中心(UCLA Health)与爱诺美康签署正式合作协议。
-
丹娜法伯癌症研究院 丹娜法伯/布列根和妇女医院癌症中心对爱诺美康转诊资质的认证。
-
麻省总医院(1) 麻省总医院对爱诺美康转诊资质的认证(NO.1页)。
-
麻省总医院(2) 麻省总医院对爱诺美康转诊资质的认证(NO.2页)。
-
辛辛那提儿童医院 辛辛那提儿童医院(美国2018-2019儿童肿瘤排名NO.1)对爱诺美康转诊资质的认证。

MD安德森癌症中心
丹娜法伯癌症研究院
辛辛那提儿童医院
克利夫兰医学中心
纪念斯隆凯特琳癌症中心
Mayo Clinic 梅奥诊所
麻省总医院
肺癌
乳腺癌
结肠癌
淋巴瘤
肉瘤
宫颈癌
卵巢癌
脑瘤
奥希替尼耐药,只剩3个月生存期,“笨办法”让我再次用上肺癌靶向药
晚期乳腺癌生命只剩6个月,她能逆袭吗?
为了多活10年,我带妈妈去美国治疗淋巴瘤
不认命 我带父亲去麻省总医院看肺癌
成功可以复制,美国这家医院再次治好晚期乳腺癌
肿瘤复发,我去美国看病的日子
北京淋巴瘤患者赴美治疗后,体内癌细胞完全消失
疫情之下,美国肿瘤专家弛缓晚期肠癌患者