肿瘤细胞死亡和自噬关系的研究
发布日期:2019.08.16 14:00:10
一项研究发现,很多肿瘤的坏死中心在限制肿瘤生长上起到了重要作用。出国看病机构爱诺美康了解到,实际上,一个肿瘤的整体大小通常会对大的活性生长中的肿块产生影响。然而,大部分的肿瘤实际上是还没有通过某种机制被清除的、迟钝的坏死组织。有意思的是,如果凋亡反应通 过前面部分所讲的一种机制被阻断,那么暴露于死亡受体、配体的细胞将会引发坏死。

出国看病机构爱诺美康介绍,肿瘤细胞在进入由缺乏营养而导致的坏死过程之前,可能通过别的策略来避免引发细胞坏死性死亡带来的不可逆损伤:细胞可能激活自噬程序,通过降解自身的细胞器来循环利用它们的成分。这样使循环利用的分子能够用来产生细胞存活所必需的能量和中间代谢产物。
和凋亡一样,自噬代表了一个有序细胞生物学过程的运作。出国看病机构爱诺美康介绍,为了应对营养物质的匮乏,细胞将停止增殖并,激活一系列能量和营养保存措施。另外,自噬过程的激活将导 致很多细胞器被有膜小泡包裹起来形成自噬体;自噬体随后融合成细胞质的内体——内 吞作用形成的小泡之后与溶酶体融合,在溶酶体中进行被膜细胞器 (如核糖体、线粒体、内质网)的降解。
这些产生的降解产物可以在多个生物学合成途径中被循环利用,使得营养物质缺乏的细胞能够在更长的一段时间内存活。对于肿瘤细胞来说如果它们在一段短暂停滞之后成功获得营养,这段时间的存活将会使它们避免发生坏死。在营养物质耗尽的情况下,一些肿瘤细胞可以消耗自身体积的2/3以保持活力,以及一旦获得营养物质就可以恢复大小和激活增殖的状态的能力。实际上,自噬经常被正常休眠细胞用来清除旧的、损耗严重的细胞器,如遭受氧化或其他形式损伤的线粒体;另外,自噬产生的降解产物还可以被重新用来构建新的细胞器。出国看病机构爱诺美康介绍,自噬(的这种作用)同样被用在正常的发育过程中。例如,在受精卵中,自噬被广泛用来降解(卵细胞的)母系蛋白质,产生受精卵所需的氨基酸,合成新的蛋白质。
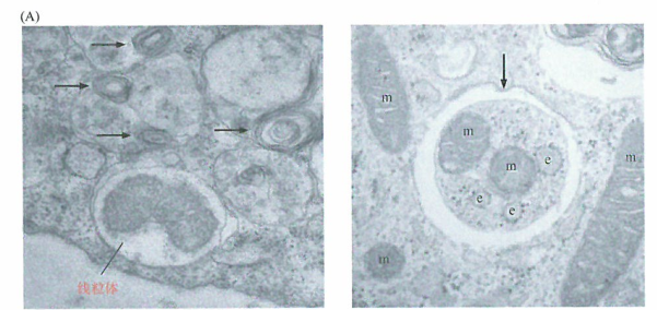
一项研究,自嗤和其他形式的细胞死亡,这辟电TM微照片显示一个完整的线粒体被吞噬进一个噬体。出国看病机构爱诺美康了解到,箭头指示了自噬体的多层膜结构,其中只有一个(右边箭头)(结构...
下一篇:用于恶性淋巴瘤、急性或慢性淋巴细胞白血病药物-环鱗酰胺 Cyclophosphamide环鱗酰胺 Cyclophosphamide【其他名称】环磷氮芥、癌得散、癌得星、安道生、CPM。【药代动力学】环磷酰胺口服易吸收,迅速分布全身,约1 小时后达到血浆峰浓度,在肝脏转化释出,去代谢产物...
根据2025年ASCO年会上公布的一期KANDLELIT-001试验(NCT05067283)数据显示,新一代KRAS G12C共价抑制剂MK-1084在KRAS G12C突变的晚期结直肠癌(CRC)患者中作为单药治疗和联合治疗的一部分是安全的,并且产生了...
Vorasidenib在高度IDH突变型胶质瘤中表现出良好的安全性和疾病稳定性根据2025年神经肿瘤学会年会上公布的短期回顾性研究数据,药物Voradidenib(商品名Vorangio)在3级或4级IDH突变型胶质瘤患者群体中展现出了良好的耐受性,并且能够使病情保持稳定。这些患者因不符合3期INDIGO试验...
Dana-Farber癌症研究所获得Elaine和Eduardo Saverin基金会2000万美元的资助Elaine与Eduardo Saverin基金会向Dana-Farber癌症研究所慷慨授予2000万美元专项拨款,旨在加速转移性癌症领域的研究探索与护理服务升级。凭借这笔重要资金,该基金会成为Dana-Farber在转移性乳腺癌研究方面最大的...
什么是肺癌2期?分期和关键事实肺癌分期系统较为复杂,不过通常会综合考量肿瘤大小、淋巴结受累情况以及有无远处转移等因素。 对于非小细胞肺癌: 肿瘤较小且局限情况:若肿瘤直径小于3厘米,尚未侵犯周围重要结构,且未扩散至淋巴结,一...
FDA接受Padcev Plus Keytruda用于某些膀胱癌症患者的申请美国食品和药物管理局(FDA)已受理Lenvima(lenvatinib mesylate)联合Opdivo(nivolumab)作为术前(新辅助)治疗的补充新药申请(sNDA),并将其作为不符合卡铂化疗条件的局部进展期胰腺癌(LAPC)患者的术后...
-
美国国家儿童医院 美国国家儿童医院对爱诺美康转诊资质的认证。
-
西达赛奈医疗中心 西达赛奈医疗中心对爱诺美康转诊资质的认证
-
皇家马斯顿医院 爱诺美康与皇家马斯顿医院达成服务共识。
-
加州大学洛杉矶分校医学中心 加州大学洛杉矶分校医学中心(UCLA Health)与爱诺美康签署正式合作协议。
-
丹娜法伯癌症研究院 丹娜法伯/布列根和妇女医院癌症中心对爱诺美康转诊资质的认证。
-
麻省总医院(1) 麻省总医院对爱诺美康转诊资质的认证(NO.1页)。
-
麻省总医院(2) 麻省总医院对爱诺美康转诊资质的认证(NO.2页)。
-
辛辛那提儿童医院 辛辛那提儿童医院(美国2018-2019儿童肿瘤排名NO.1)对爱诺美康转诊资质的认证。

MD安德森癌症中心
丹娜法伯癌症研究院
辛辛那提儿童医院
克利夫兰医学中心
纪念斯隆凯特琳癌症中心
Mayo Clinic 梅奥诊所
麻省总医院
肺癌
乳腺癌
结肠癌
淋巴瘤
肉瘤
宫颈癌
卵巢癌
脑瘤
奥希替尼耐药,只剩3个月生存期,“笨办法”让我再次用上肺癌靶向药
晚期乳腺癌生命只剩6个月,她能逆袭吗?
为了多活10年,我带妈妈去美国治疗淋巴瘤
不认命 我带父亲去麻省总医院看肺癌
成功可以复制,美国这家医院再次治好晚期乳腺癌
肿瘤复发,我去美国看病的日子
北京淋巴瘤患者赴美治疗后,体内癌细胞完全消失
疫情之下,美国肿瘤专家弛缓晚期肠癌患者