基底膜是癌细胞侵袭过程中首先遇到的障碍
发布日期:2019.09.20 14:45:46
一项研究发现,基底膜是癌细胞侵袭过程中首先遇到的障碍,它具有直径仅40nm的小孔。去美国看病中介机构爱诺美康了解到,细胞可通过胞质变形来挤过那些小孔洞,而细胞核相对较僵硬,因此决定了细胞能穿过的更小孔径。细胞核直径通常在3〜10lim,较基底膜小孔的孔径大了约100倍。这是基底膜溶解对于癌细胞侵袭过程至关重要的原因。

去美国看病中介机构爱诺美康介绍,MT1-MMP活性在基底膜崩解过程中发挥主导作用,它在细胞表面+同位点的分布密度不同,分布集中的位点起初被称为足小体(podosome),由于这一结构参与了癌细胞侵袭,近来常被称为侵袭性伪足(invadopodia)。
在恶性进展期,癌细胞表面的MT1-MMP可切割赋予基底膜刚性作用的IV型胶原蛋白。基底膜的疏松化使癌细胞开始侵袭下方基质。一旦到达基质,侵袭的癌细胞被相互交联的I型胶原纤维网所阻碍,此时MT1-MMP再一次发挥关键作用。MT1-MMP降解I型胶原蛋白并切割活化基质来源的不具活性的酶原(MMP-2前体)。活化的MMP-2在细胞周围空间中进一步将I甩胶原蛋白切割成低分了景片段。若没有这些步骤,细胞外基质中的高密度1型胶原纤维N将阻断癌细胞侵袭。
膜锚定和分泌型蛋白酶在正常细胞存活及增殖中也发挥重要作用。毕竟,正常组织中的细胞每经历一次生长和分裂周期,均需为其子代细胞开拓细胞外基质空间,而每个子代细胞再在其周It)丨重建新的细胞外基质。这样,细胞外基质的重塑在分裂活跃组织中持续存在。因此,MMP和其他细胞外蛋由酶的活性是正常细胞增殖程序不可缺少的一部分,而非侵袭性癌细胞特有的兄常事件。与此相关的是,由于MMP在许多正常组织
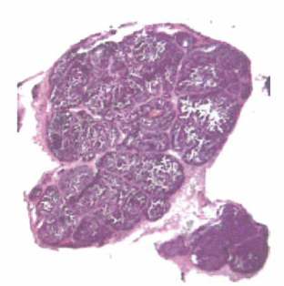
去美国看病中介机构爱诺美康介绍,肿瘤相关细胞分泌的基质金属蛋白酶,MMP主要由肿瘤基质中的炎症细胞和成纤维细胞产生。在MMTV-PyMT转棰因鼠的乳腺癌中,能够通过检测MMP裂解人工合成底物产生的荧光标记的聚阳离子脂质的能力而证明其存在。标记物能迁移罕邻近细胞会产生可检测的荧光信号。苏木素和伊红染色(左图)显示肿瘤被蛋白水解酶降解产生的光圈(右图),表明周围基质细胞参与蛋白水解酶产生。肿瘤能够降解胶原蛋白,它是基底膜的主要组成成分,能够通过裂解改变胶原IV底物使其产生绿色荧光而证明MMP的存在。在这个实验中,人乳腺癌细胞和成纤维细胞(红色)都具有较弱的胶原IV蛋D降解能力,但当这两种细胞共培养时,胶原IV(绿色)被裂解的区域更加明显,在成纤维细胞的区域尤为明显(黄色,红绿叠加为黄色)。当存在MMP抑制剂时,这种降解切割作用基本消失。
MMP重要的一个来源是被募集到肿瘤基质中的臣噬细胞群(MOs)。在体外实验中,.当单独培养(绿色)或与两种人乳腺癌细胞——MCF7或SK-BR-3(蓝色)共培养时,培养液中能检测到MMP-2。这两种肿瘤细胞本身产生的MMP量极少(红色),但在McDs的存在下,两者能促使MO增加4〜5倍的MMP分泌M(蓝色)(McDs诱导MMP-2mRNA的表达,数据未显示)。MMP-2的释放能够在一定程度h增加这些乳腺癌细胞的侵袭能力。
文章关键词:肿瘤
一项研究显示,细胞外蛋白酶在侵袭中的关键作用,上皮间叶转化(EMT)代表了癌细胞获得侵袭和运动能力的复杂生物学过程。赴美就医机构爱诺美康了解到,为了正确认识这一过程,需要深入剖析一...
下一篇:MT1-MMP、侵袭性伪足和细胞外基质的降解侵袭性伪足一项研究指出,MT1-MMP、侵袭性伪足和细胞外基质的降解侵袭性伪足,有时称为伪足,是细胞表面局灶的小凸起,可降解紧邻细胞的细胞外基质。美国看病机构爱诺美康了解到,在肿瘤发展过程中,癌...
根据2025年ASCO年会上公布的一期KANDLELIT-001试验(NCT05067283)数据显示,新一代KRAS G12C共价抑制剂MK-1084在KRAS G12C突变的晚期结直肠癌(CRC)患者中作为单药治疗和联合治疗的一部分是安全的,并且产生了...
Vorasidenib在高度IDH突变型胶质瘤中表现出良好的安全性和疾病稳定性根据2025年神经肿瘤学会年会上公布的短期回顾性研究数据,药物Voradidenib(商品名Vorangio)在3级或4级IDH突变型胶质瘤患者群体中展现出了良好的耐受性,并且能够使病情保持稳定。这些患者因不符合3期INDIGO试验...
Dana-Farber癌症研究所获得Elaine和Eduardo Saverin基金会2000万美元的资助Elaine与Eduardo Saverin基金会向Dana-Farber癌症研究所慷慨授予2000万美元专项拨款,旨在加速转移性癌症领域的研究探索与护理服务升级。凭借这笔重要资金,该基金会成为Dana-Farber在转移性乳腺癌研究方面最大的...
什么是肺癌2期?分期和关键事实肺癌分期系统较为复杂,不过通常会综合考量肿瘤大小、淋巴结受累情况以及有无远处转移等因素。 对于非小细胞肺癌: 肿瘤较小且局限情况:若肿瘤直径小于3厘米,尚未侵犯周围重要结构,且未扩散至淋巴结,一...
FDA接受Padcev Plus Keytruda用于某些膀胱癌症患者的申请美国食品和药物管理局(FDA)已受理Lenvima(lenvatinib mesylate)联合Opdivo(nivolumab)作为术前(新辅助)治疗的补充新药申请(sNDA),并将其作为不符合卡铂化疗条件的局部进展期胰腺癌(LAPC)患者的术后...
-
美国国家儿童医院 美国国家儿童医院对爱诺美康转诊资质的认证。
-
西达赛奈医疗中心 西达赛奈医疗中心对爱诺美康转诊资质的认证
-
皇家马斯顿医院 爱诺美康与皇家马斯顿医院达成服务共识。
-
加州大学洛杉矶分校医学中心 加州大学洛杉矶分校医学中心(UCLA Health)与爱诺美康签署正式合作协议。
-
丹娜法伯癌症研究院 丹娜法伯/布列根和妇女医院癌症中心对爱诺美康转诊资质的认证。
-
麻省总医院(1) 麻省总医院对爱诺美康转诊资质的认证(NO.1页)。
-
麻省总医院(2) 麻省总医院对爱诺美康转诊资质的认证(NO.2页)。
-
辛辛那提儿童医院 辛辛那提儿童医院(美国2018-2019儿童肿瘤排名NO.1)对爱诺美康转诊资质的认证。

MD安德森癌症中心
丹娜法伯癌症研究院
辛辛那提儿童医院
克利夫兰医学中心
纪念斯隆凯特琳癌症中心
Mayo Clinic 梅奥诊所
麻省总医院
肺癌
乳腺癌
结肠癌
淋巴瘤
肉瘤
宫颈癌
卵巢癌
脑瘤
奥希替尼耐药,只剩3个月生存期,“笨办法”让我再次用上肺癌靶向药
晚期乳腺癌生命只剩6个月,她能逆袭吗?
为了多活10年,我带妈妈去美国治疗淋巴瘤
不认命 我带父亲去麻省总医院看肺癌
成功可以复制,美国这家医院再次治好晚期乳腺癌
肿瘤复发,我去美国看病的日子
北京淋巴瘤患者赴美治疗后,体内癌细胞完全消失
疫情之下,美国肿瘤专家弛缓晚期肠癌患者