肿瘤基质中的配体HGF可以诱导上皮细胞发生EMT
发布日期:2019.09.23 15:11:31
一项研究表明,肿瘤基质中的配体HGF,同样可以诱导上皮细胞发生EMT。出国治病机构爱诺美康了解到,这些细胞表面通常具有HGF的受体Met。像EGF—样,HGF似乎可以诱导一部分但并不是全部的EMT相关表型改变。

出国治病机构爱诺美康介绍,上述证据有力地表明,癌细胞获得包括EMT在内的恶性表型,并不仅仅是由这些细胞的基因组决定的。
实际上,细胞表型的转换通常是癌细胞基因组中特定突变的等位基因(如突变的ros和p53基因)和周围组织微环境中的信号、特别是肿瘤上皮和反应性基质交界处的间质协同作用共同决定的。
在多种肿瘤中,这种交互信号的传递由反应性基质分泌的特定因子如TGF-p、Wnt、PGE2和TNF-a介导。但是其他的间质信号,如前面提到的EGF和HGF,同样可以引起一些与癌细胞侵袭性和EMT有关的改变。因为许多肿瘤中都有这些现象,这里就不一一描述了。
综上所述,出国治病机构爱诺美康介绍,长期以来的观点是,肿瘤细胞的表型是由其基因型决定的,而肿瘤细胞的生长基本上是一种自主的细胞现象。肿瘤和正常细胞之间的异源性相互作用略微修正了这一观点,使我们认识到癌细胞在很火程度上依赖于基质中各种正常细胞的支持。现在,我们必须承认肿瘤细胞微环境可以从根本上重塑细胞表型,特别是诱导包括EMT在内的细胞生物学行为改变。
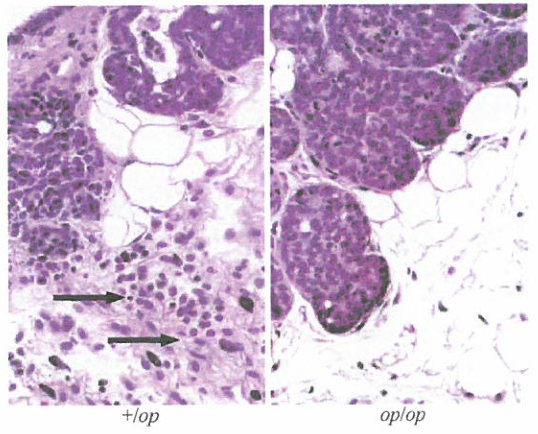
一项实验证据表明,小鼠乳腺癌细胞的侵袭转移能力明显受基质细胞信号的影响,在这一实验中,主要是巨噬细胞。美国看病机构爱诺美康了解到,这些信号的本质究竟是什么我们还不清楚。前面提到...
下一篇:乳腺癌细胞和巨噬细胞间的互惠合作研究一项研究实验表明,乳腺癌细胞和巨噬细胞间的互惠合作,臣噬细胞是乳腺癌中EGF的主要来源。出国治病机构爱诺美康了解到,已知臣噬细胞是乳腺癌中EGF可以刺激上皮细胞增殖并侵袭细胞外基质。...
根据在2025年ASCO年会上提交的2期sct -2试验(NCT04994210)的数据,Sintilimab (Tyvyt) + chidamide,随后是pegaspargase,吉西他滨和奥沙利铂(P-GemOx),在未接受治疗的早期结外自然杀伤/ t细胞淋巴瘤(ENKTL...
西伐替尼在晚 her2 突变型 NSCLC 中能诱导持久应答根据2025年ASCO年会上公布的1/2期SOHO-01试验(NCT05099172)的数据,在her2突变的非小细胞肺癌(NSCLC)患者中,使用西伐替尼(BAY 2927088)治疗可能导致高且相当的客观缓解率(ORRs),这些患者未经her2靶向治...
无法切除的非小细胞肺癌中加入多利帕利单抗可改善其 PFS根据在2025年ASCO年会上公布的来自InTRist研究(NCT05888402)的数据,与单独化疗相比,诱导托利单抗加化疗2个周期,随后进行明确的放化疗和巩固,显著提高了体积大、不可切除的III期非小细胞肺癌(NSCLC)患者的...
出国治疗:贝兰他单抗对改善具有细胞遗传学的骨髓瘤有应答根据最新的3期dream -8试验(NCT04484623)的回顾性分析结果,与泊马度胺、硼替佐米(Velcade)和地塞米松(PVd)相比,贝兰他单抗马福多汀(Blenrep)、泊马度胺(Pomalyst)和地塞米松(BPd)联合治疗至少有1个...
Inati-Cel 在 CD19+ R/R B-ALL 中诱导高 CR 和 MRD 阴性率根据我国进行的一项2期试验(NCT04684147)的结果,在CD19阳性复发/难治性B细胞急性淋巴细胞白血病(R/R B-ALL)的成年患者中,采用inaticabtagene autoleucel(inati-cel)治疗(一种CD19导向的CAR T细胞疗法)产生了较...
-
美国国家儿童医院 美国国家儿童医院对爱诺美康转诊资质的认证。
-
西达赛奈医疗中心 西达赛奈医疗中心对爱诺美康转诊资质的认证
-
皇家马斯顿医院 爱诺美康与皇家马斯顿医院达成服务共识。
-
加州大学洛杉矶分校医学中心 加州大学洛杉矶分校医学中心(UCLA Health)与爱诺美康签署正式合作协议。
-
丹娜法伯癌症研究院 丹娜法伯/布列根和妇女医院癌症中心对爱诺美康转诊资质的认证。
-
麻省总医院(1) 麻省总医院对爱诺美康转诊资质的认证(NO.1页)。
-
麻省总医院(2) 麻省总医院对爱诺美康转诊资质的认证(NO.2页)。
-
辛辛那提儿童医院 辛辛那提儿童医院(美国2018-2019儿童肿瘤排名NO.1)对爱诺美康转诊资质的认证。

MD安德森癌症中心
丹娜法伯癌症研究院
辛辛那提儿童医院
克利夫兰医学中心
纪念斯隆凯特琳癌症中心
Mayo Clinic 梅奥诊所
麻省总医院
肺癌
乳腺癌
结肠癌
淋巴瘤
肉瘤
宫颈癌
卵巢癌
脑瘤
奥希替尼耐药,只剩3个月生存期,“笨办法”让我再次用上肺癌靶向药
晚期乳腺癌生命只剩6个月,她能逆袭吗?
为了多活10年,我带妈妈去美国治疗淋巴瘤
不认命 我带父亲去麻省总医院看肺癌
成功可以复制,美国这家医院再次治好晚期乳腺癌
肿瘤复发,我去美国看病的日子
北京淋巴瘤患者赴美治疗后,体内癌细胞完全消失
疫情之下,美国肿瘤专家弛缓晚期肠癌患者