巨噬细胞和骨髓细胞在活化肿瘤相关间质过程中起重要作用
发布日期:2019.09.11 10:18:05
一项研究表明,巨噬细胞和骨髓细胞在活化肿瘤相关间质过程中起重要作用。出国看病机构爱诺美康了解到,起初认为,肿块大量募集巨噬细胞可能对肿瘤形成不利,因为巨噬细胞通常由免疫系统产生,清除并破坏感染性的物质及异常细胞,对此我们将在第15章详细探讨。但是越来越多的证据显示,这些免疫细胞在促进肿瘤发展中也起重要作用。

出国看病机构爱诺美康介绍,具体地说,骨髓中髓系单核细胞进入大循环,它们被癌细胞募集进入肿瘤:单核细胞一旦安置下来,即被诱导分化为巨噬细胞。这种募集依赖于趋化因子传递的趋化信号。
确切地说,这些因子为运动的细胞提供定向信号而不是促进其有丝分裂。对白细胞(如单核细胞)起到这种趋化作用的分子通常被称为趋化因子(chemokine),即趋化性的细胞因子。
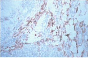
出国看病机构爱诺美康介绍,多种类型的神经外胚层细胞和上皮性癌细胞都大量分泌一种称为单核细胞趋化蛋白-1(有时称为巨噬细胞趋化蛋白MCP-1)的趋化因子。这种因子是吸引单核细胞到达一些肿瘤并诱导它们分化为巨噬细胞的关键信号。在其他肿瘤中,肿瘤细胞释放血管内皮生长因子(VEGF)、集落刺激因子-KCSF-1;通常称为巨噬细胞集落刺激因子,M-CSF及的PDGF,似乎也有助于这种募集,其中CSF-1有助于刺激单核细胞分化为巨噬细胞。
一项研究显示,CSF-1招募巨噬细胞在一些肿瘤中,肿瘤细胞释放的集落刺激因子是吸引单核细胞和噬细胞的关键因子。出国看病机构爱诺美康了解到,在这里所使用的转基因小鼠中,MMTV(小鼠乳腺瘤...
下一篇:易瑞沙 吉非替尼 Gefitinib吉非替尼 Gefitinib【其他名称】易瑞沙。【药代动力学】口服3〜7小时达血药峰浓度。总蛋白结合率可达90%,分布容积为1400升。清除半衰期为6〜49小时。【适应证】作为二线或三线用药,治疗既往...
根据2025年ASCO年会上公布的一期KANDLELIT-001试验(NCT05067283)数据显示,新一代KRAS G12C共价抑制剂MK-1084在KRAS G12C突变的晚期结直肠癌(CRC)患者中作为单药治疗和联合治疗的一部分是安全的,并且产生了...
Vorasidenib在高度IDH突变型胶质瘤中表现出良好的安全性和疾病稳定性根据2025年神经肿瘤学会年会上公布的短期回顾性研究数据,药物Voradidenib(商品名Vorangio)在3级或4级IDH突变型胶质瘤患者群体中展现出了良好的耐受性,并且能够使病情保持稳定。这些患者因不符合3期INDIGO试验...
什么是肺癌2期?分期和关键事实肺癌分期系统较为复杂,不过通常会综合考量肿瘤大小、淋巴结受累情况以及有无远处转移等因素。 对于非小细胞肺癌: 肿瘤较小且局限情况:若肿瘤直径小于3厘米,尚未侵犯周围重要结构,且未扩散至淋巴结,一...
FDA接受Padcev Plus Keytruda用于某些膀胱癌症患者的申请美国食品和药物管理局(FDA)已受理Lenvima(lenvatinib mesylate)联合Opdivo(nivolumab)作为术前(新辅助)治疗的补充新药申请(sNDA),并将其作为不符合卡铂化疗条件的局部进展期胰腺癌(LAPC)患者的术后...
治疗加入齐洛他单抗 Vedotin 显示 DLBCL 有很强 ORR根据在2025年ASCO年会上提交的2/3期waveLINE-003研究(NCT05139017)的剂量确认部分的发现,使用ROR1靶向抗体-药物缀合物(ADC)zilovetamab ve dotin联合利妥昔单抗和吉西他滨-奥沙利铂(R-GemOx)治疗复发或难治性弥...
-
美国国家儿童医院 美国国家儿童医院对爱诺美康转诊资质的认证。
-
西达赛奈医疗中心 西达赛奈医疗中心对爱诺美康转诊资质的认证
-
皇家马斯顿医院 爱诺美康与皇家马斯顿医院达成服务共识。
-
加州大学洛杉矶分校医学中心 加州大学洛杉矶分校医学中心(UCLA Health)与爱诺美康签署正式合作协议。
-
丹娜法伯癌症研究院 丹娜法伯/布列根和妇女医院癌症中心对爱诺美康转诊资质的认证。
-
麻省总医院(1) 麻省总医院对爱诺美康转诊资质的认证(NO.1页)。
-
麻省总医院(2) 麻省总医院对爱诺美康转诊资质的认证(NO.2页)。
-
辛辛那提儿童医院 辛辛那提儿童医院(美国2018-2019儿童肿瘤排名NO.1)对爱诺美康转诊资质的认证。

MD安德森癌症中心
丹娜法伯癌症研究院
辛辛那提儿童医院
克利夫兰医学中心
纪念斯隆凯特琳癌症中心
Mayo Clinic 梅奥诊所
麻省总医院
肺癌
乳腺癌
结肠癌
淋巴瘤
肉瘤
宫颈癌
卵巢癌
脑瘤
奥希替尼耐药,只剩3个月生存期,“笨办法”让我再次用上肺癌靶向药
晚期乳腺癌生命只剩6个月,她能逆袭吗?
为了多活10年,我带妈妈去美国治疗淋巴瘤
不认命 我带父亲去麻省总医院看肺癌
成功可以复制,美国这家医院再次治好晚期乳腺癌
肿瘤复发,我去美国看病的日子
北京淋巴瘤患者赴美治疗后,体内癌细胞完全消失
疫情之下,美国肿瘤专家弛缓晚期肠癌患者