侵袭转移是肿瘤发病机制研究中主要悬而未决的问题
发布日期:2019.09.17 10:44:50
一项研究表明,肿瘤发展过程中涉及的侵袭性问题,这依赖于肿瘤细胞本身及相关基质中复杂的生物化学和生物学改变。出国看病机构爱诺美康了解到,肿瘤形成的多数步骤已比较清楚。然而,对于肿瘤侵袭和转移的机制目前的认识仍然十分有限。这些在肿瘤进展晚期出现的侵袭转移是肿瘤发病机制研究中主要悬而未决的问题。

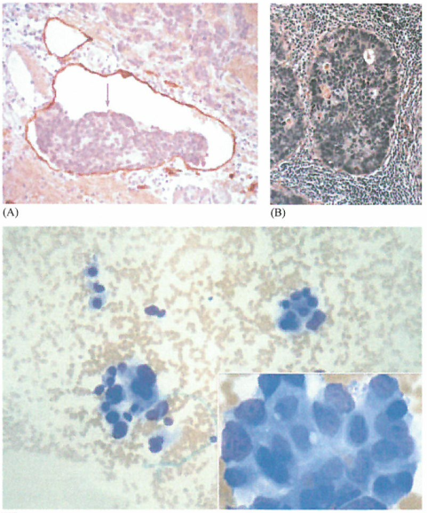
多种组织转移瘤的组织学观察,出国看病机构爱诺美康介绍,如图(A)在Rip标签转某因小鼠的胰岛细胞瘤中,过表达VEGF-C(—种存在于胰岛肿瘤细胞的淋巴管血管生长因7),可增加肿瘤的淋巴转移。图中可见在淋巴管中形成的胰岛细胞微小转移团块(箭头所示),淋巴管内皮细胞排列成管状(红棕色)。
出国看病机构爱诺美康介绍,如图B与乳腺引流淋巴管相连淋巴结中的人乳腺癌微小转移灶(中央处)。从图中可见这一转移灶具有明确的组织结构,伍掂导管和苺质,这足许多原发性乳腺癌的特征,同时在周围的淋巴管中还见许多淋巴细胞(黑色的细胞核)。
用特殊免疫组织化学染色方法检测细胞表达的外皮性标志,可用于检测骨髓中出现的转移性癌细胞(蓝色),以区分骨髓中天然存在的间叶细胞。如图所示,通过Wright-Giemsa染色将上皮来源的癌细胞染成蓝色。
文章关键词:肿瘤
伊马替尼 Imatinib【其他名称】甲磺酸伊马替尼。【药代动力学】口服易吸收,2〜4小时后达血药峰浓度,蛋白结合率为95%。不易通过血脑屏障。原形药和代谢物的清除半衰期分别为18小时、40小时。...
下一篇:肿瘤转移的主要困惑之一是不同肿瘤发生转移的能力不同播散的肿瘤诊断出肿瘤转移常常意味着肿瘤患者被判了死刑,但人们对肿瘤细胞离开原发灶,向身体远端器官转移的机制知之甚少。出国看病机构爱诺美康了解到,下图为转移性非®奇金淋巴瘤(no...
根据2025年ASCO年会上公布的一期KANDLELIT-001试验(NCT05067283)数据显示,新一代KRAS G12C共价抑制剂MK-1084在KRAS G12C突变的晚期结直肠癌(CRC)患者中作为单药治疗和联合治疗的一部分是安全的,并且产生了...
Vorasidenib在高度IDH突变型胶质瘤中表现出良好的安全性和疾病稳定性根据2025年神经肿瘤学会年会上公布的短期回顾性研究数据,药物Voradidenib(商品名Vorangio)在3级或4级IDH突变型胶质瘤患者群体中展现出了良好的耐受性,并且能够使病情保持稳定。这些患者因不符合3期INDIGO试验...
Dana-Farber癌症研究所获得Elaine和Eduardo Saverin基金会2000万美元的资助Elaine与Eduardo Saverin基金会向Dana-Farber癌症研究所慷慨授予2000万美元专项拨款,旨在加速转移性癌症领域的研究探索与护理服务升级。凭借这笔重要资金,该基金会成为Dana-Farber在转移性乳腺癌研究方面最大的...
什么是肺癌2期?分期和关键事实肺癌分期系统较为复杂,不过通常会综合考量肿瘤大小、淋巴结受累情况以及有无远处转移等因素。 对于非小细胞肺癌: 肿瘤较小且局限情况:若肿瘤直径小于3厘米,尚未侵犯周围重要结构,且未扩散至淋巴结,一...
FDA接受Padcev Plus Keytruda用于某些膀胱癌症患者的申请美国食品和药物管理局(FDA)已受理Lenvima(lenvatinib mesylate)联合Opdivo(nivolumab)作为术前(新辅助)治疗的补充新药申请(sNDA),并将其作为不符合卡铂化疗条件的局部进展期胰腺癌(LAPC)患者的术后...
-
美国国家儿童医院 美国国家儿童医院对爱诺美康转诊资质的认证。
-
西达赛奈医疗中心 西达赛奈医疗中心对爱诺美康转诊资质的认证
-
皇家马斯顿医院 爱诺美康与皇家马斯顿医院达成服务共识。
-
加州大学洛杉矶分校医学中心 加州大学洛杉矶分校医学中心(UCLA Health)与爱诺美康签署正式合作协议。
-
丹娜法伯癌症研究院 丹娜法伯/布列根和妇女医院癌症中心对爱诺美康转诊资质的认证。
-
麻省总医院(1) 麻省总医院对爱诺美康转诊资质的认证(NO.1页)。
-
麻省总医院(2) 麻省总医院对爱诺美康转诊资质的认证(NO.2页)。
-
辛辛那提儿童医院 辛辛那提儿童医院(美国2018-2019儿童肿瘤排名NO.1)对爱诺美康转诊资质的认证。

MD安德森癌症中心
丹娜法伯癌症研究院
辛辛那提儿童医院
克利夫兰医学中心
纪念斯隆凯特琳癌症中心
Mayo Clinic 梅奥诊所
麻省总医院
肺癌
乳腺癌
结肠癌
淋巴瘤
肉瘤
宫颈癌
卵巢癌
脑瘤
奥希替尼耐药,只剩3个月生存期,“笨办法”让我再次用上肺癌靶向药
晚期乳腺癌生命只剩6个月,她能逆袭吗?
为了多活10年,我带妈妈去美国治疗淋巴瘤
不认命 我带父亲去麻省总医院看肺癌
成功可以复制,美国这家医院再次治好晚期乳腺癌
肿瘤复发,我去美国看病的日子
北京淋巴瘤患者赴美治疗后,体内癌细胞完全消失
疫情之下,美国肿瘤专家弛缓晚期肠癌患者