通过抗CTLA-4抗体抑制CTLA-4的肿瘤免疫治疗的策略研究
发布日期:2019.09.24 10:02:57
一项肿瘤免疫治疗的策略研究,即通过抗CTLA-4抗体抑制CTLA-4的功能。海外看病机构爱诺美康了解到,CTLA-4调节细胞免疫反应TH细胞(上)与抗原呈递细胞(APC,下)如树突状细胞之间的相互作用,包括两个步骤。

首先,TH细胞表面表达的CD28蛋白(浅绿色)与抗原呈递细胞表面的B7蛋白(深绿色)互补并结合,这使得CD28分子释放共刺激倍兮(红色箭头),其句抗原结合的T细胞受体释放的信号(蓝色箭头)共同作用使T„细胞活化。
在第二个阶段中,作为其活化程序的一部分,T细胞开始合成CTLA-4分子(粉红)。这些CTLA-4分子结合在APC的B7分子上,其亲合力高于CD28分子。因此,可以取代CD28的结合,继而限制T细胞的进一步活化。“B7”包拈两种类似的作用分子,称为B7-1和B7-2。
海外看病机构爱诺美康介绍,调节CTLA-4的活性对于抗移植性肿瘤的免疫反应具有较人的作用。如果缺失CTLA-4的调节,肿瘤细胞在注入宿主小鼠9天后就会开始旺盛地生长(红线)。抗-CD28血清可以干预APC对T细胞的激活(见图),它对这些肿瘤的生长仅有微弱的作用(蓝线对红线)。但是,当患瘤小鼠在如图所示的时间注射抗CTLA-4抗体后,通常T细胞功能关闭机制被明显阻断,产生高度活化的T细胞杀灭肿瘤(绿线)。

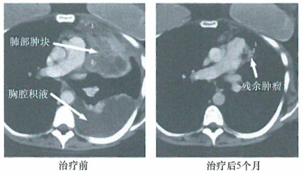
临床上使用称为MDX-010的抗CTLA-4单克隆抗体会在部分患者中产生明显的疗效。海外看病机构爱诺美康介绍,如图所示,黑色素瘤转移的患者作开始免疫治疗(右图)的5个月后,其主要的肺转移瘤和胸膜渗出物(左图)大部分消失,这两幅图是用CT扫描显示的。这个患者首次使用反复注射树突状细胞的方法进行治疗。这种树突状细胞的MHCII受体己在体外与MART-1黑色素瘤抗原寡肽结合负载。
在这一治疗后,再注射抗CTLA-4抗体。这样明显的疗效反映/这种免疫治疗方法的潜能。但由于它只能在很小一部分治疗患者上达到这样的疗效,因此其至今还未被广泛认同。
一项抗肿瘤免疫治疗研究,成功控制获得性免疫系统阻止肿瘤进展的临床实验。美国就医机构爱诺美康了解到,早期的临床试验中,31名去势抗性的前列腺癌患者,都不含针对PAP的预存抗体或T细胞应...
下一篇:从患者肿瘤中提取淋巴细胞,过继性细胞输入(ACT)治疗策略研究一个相关的研究策略,是从患者肿瘤中提取淋巴细胞,在体外将这些细胞进行处理,然后再回输患者体内——这一过程称为过继性细胞输入(ACT)。海外就医机构爱诺美康了解到,来自于手术切除的肿...
根据2025年ASCO年会上公布的一期KANDLELIT-001试验(NCT05067283)数据显示,新一代KRAS G12C共价抑制剂MK-1084在KRAS G12C突变的晚期结直肠癌(CRC)患者中作为单药治疗和联合治疗的一部分是安全的,并且产生了...
Vorasidenib在高度IDH突变型胶质瘤中表现出良好的安全性和疾病稳定性根据2025年神经肿瘤学会年会上公布的短期回顾性研究数据,药物Voradidenib(商品名Vorangio)在3级或4级IDH突变型胶质瘤患者群体中展现出了良好的耐受性,并且能够使病情保持稳定。这些患者因不符合3期INDIGO试验...
Dana-Farber癌症研究所获得Elaine和Eduardo Saverin基金会2000万美元的资助Elaine与Eduardo Saverin基金会向Dana-Farber癌症研究所慷慨授予2000万美元专项拨款,旨在加速转移性癌症领域的研究探索与护理服务升级。凭借这笔重要资金,该基金会成为Dana-Farber在转移性乳腺癌研究方面最大的...
什么是肺癌2期?分期和关键事实肺癌分期系统较为复杂,不过通常会综合考量肿瘤大小、淋巴结受累情况以及有无远处转移等因素。 对于非小细胞肺癌: 肿瘤较小且局限情况:若肿瘤直径小于3厘米,尚未侵犯周围重要结构,且未扩散至淋巴结,一...
FDA接受Padcev Plus Keytruda用于某些膀胱癌症患者的申请美国食品和药物管理局(FDA)已受理Lenvima(lenvatinib mesylate)联合Opdivo(nivolumab)作为术前(新辅助)治疗的补充新药申请(sNDA),并将其作为不符合卡铂化疗条件的局部进展期胰腺癌(LAPC)患者的术后...
-
美国国家儿童医院 美国国家儿童医院对爱诺美康转诊资质的认证。
-
西达赛奈医疗中心 西达赛奈医疗中心对爱诺美康转诊资质的认证
-
皇家马斯顿医院 爱诺美康与皇家马斯顿医院达成服务共识。
-
加州大学洛杉矶分校医学中心 加州大学洛杉矶分校医学中心(UCLA Health)与爱诺美康签署正式合作协议。
-
丹娜法伯癌症研究院 丹娜法伯/布列根和妇女医院癌症中心对爱诺美康转诊资质的认证。
-
麻省总医院(1) 麻省总医院对爱诺美康转诊资质的认证(NO.1页)。
-
麻省总医院(2) 麻省总医院对爱诺美康转诊资质的认证(NO.2页)。
-
辛辛那提儿童医院 辛辛那提儿童医院(美国2018-2019儿童肿瘤排名NO.1)对爱诺美康转诊资质的认证。

MD安德森癌症中心
丹娜法伯癌症研究院
辛辛那提儿童医院
克利夫兰医学中心
纪念斯隆凯特琳癌症中心
Mayo Clinic 梅奥诊所
麻省总医院
肺癌
乳腺癌
结肠癌
淋巴瘤
肉瘤
宫颈癌
卵巢癌
脑瘤
奥希替尼耐药,只剩3个月生存期,“笨办法”让我再次用上肺癌靶向药
晚期乳腺癌生命只剩6个月,她能逆袭吗?
为了多活10年,我带妈妈去美国治疗淋巴瘤
不认命 我带父亲去麻省总医院看肺癌
成功可以复制,美国这家医院再次治好晚期乳腺癌
肿瘤复发,我去美国看病的日子
北京淋巴瘤患者赴美治疗后,体内癌细胞完全消失
疫情之下,美国肿瘤专家弛缓晚期肠癌患者