脊膜瘤的外科治疗研究
发布日期:2019.11.01 16:39:37
一项研究介绍,脊膜瘤起源于硬膜的蛛网膜盖细胞。海外看病机构爱诺美康了解到,一般将硬膜切开后,从脊髓的背侧或后外侧牵拉肿瘤,并将其切除,之后切除部分硬脊膜以完整切除肿瘤。对于脊髓外侧和前方的肿瘤,切开肿瘤表面的蛛网膜并将其反折,这样可以直接从肿瘤表面分离。

海外看病机构爱诺美康介绍,一般较大的肿瘤切成两份,并从中间分块切除。轻轻牵拉附着于脊髓表面的肿瘤并小心游离肿瘤。硬膜被肿瘤累及的部分可将受累部分切除。硬膜缺损部分可以用补片进行修补。
典型病例
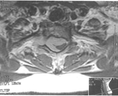
位于C7至T2节段的髓外硬膜内肿瘤包绕脊髓(图1和2)。
全椎板切除和右侧关节突关节切除后暴露肿瘤。在正常硬膜表面采用旁正中切口切开硬膜。应当注意仅切开硬膜更外层。硬膜较容易分为两层:内层和外层。外层切开较小的切口后逐渐延长切口,之后用一对显微外科镊将外层从内层上剥离,并且用显微解剖刀由头端向尾端分离。这时可以通过内层硬膜看到肿瘤基底。当对外层硬膜进行缝线固定,并向两侧悬吊后,用解剖刀将内层硬膜切开小口(图29-27)。这时应当注意避免切开蛛网膜。沿肿瘤的后外侧部分切开内层硬膜。肿瘤的后外侧部分从周围硬膜游离下来,此时应注意小心将内层硬膜提起并将肿瘤从蛛网膜表面游离(图29-28)。
对于脊髓前方部分肿瘤的切除,切断齿状韧带,并用丝线结扎。用扎紧的丝线将脊髓左侧牵起,以便暴露脊髓前方肿瘤组织。小心分离肿瘤表面蛛网膜和脊髓前表面(图29-29)。当充分分离后,可以将脊髓前方肿瘤充分暴露。分块切除前方肿瘤,并将肿瘤累及部分的硬膜切除。将肿瘤根部充分电凝止血。

图1 MRI示C7到T2水平硬膜外肿瘤组织强化明显,并包绕脊髓。

图2 切除椎板及右侧小关节突以暴露肿瘤。
海外看病机构爱诺美康介绍,一些专家建议对肿瘤床进行广泛的电凝,而另一些专家建议将肿瘤累及的硬膜完整切除。然而切除受累部分硬膜,缺损硬膜无法一期缝合或修补,患者可能会形成假性脑(脊)膜膨出。对比受累部分硬膜彻底切除与硬膜电凝,Solero等m报道复发率为8% vs.5.6%。对于孤立的向脊髓外侧或后侧生长的硬膜内脊膜瘤,电凝可以作为替代受累硬膜整块切除的另一种术式。当肿瘤切除后,对保留的外层硬膜进行连续缝合,之后按标准方式逐层缝合伤口。
文章关键词:肿瘤
滑膜囊肿较颈段和胸段更常见于腰椎节段(占90%),并且大多数发生在L4-5水平。出国治病机构爱诺美康了解到,腰椎滑膜囊肿会引起各种症状和体征,如神经根性疼痛、神经源性跛行和马尾综合征。...
下一篇:累及椎间孔的颈椎神经鞘瘤研究哑铃型肿瘤描述的是一类在生长过程中遇到解剖屏障如硬膜、椎间孔或其他骨性结构而生长成沙漏样外形的肿瘤。出国看病机构爱诺美康介绍,大多数起源于脊髓背根的神经鞘瘤沿神经根生长,并累及...
根据2025年ASCO年会上公布的一期KANDLELIT-001试验(NCT05067283)数据显示,新一代KRAS G12C共价抑制剂MK-1084在KRAS G12C突变的晚期结直肠癌(CRC)患者中作为单药治疗和联合治疗的一部分是安全的,并且产生了...
Vorasidenib在高度IDH突变型胶质瘤中表现出良好的安全性和疾病稳定性根据2025年神经肿瘤学会年会上公布的短期回顾性研究数据,药物Voradidenib(商品名Vorangio)在3级或4级IDH突变型胶质瘤患者群体中展现出了良好的耐受性,并且能够使病情保持稳定。这些患者因不符合3期INDIGO试验...
Dana-Farber癌症研究所获得Elaine和Eduardo Saverin基金会2000万美元的资助Elaine与Eduardo Saverin基金会向Dana-Farber癌症研究所慷慨授予2000万美元专项拨款,旨在加速转移性癌症领域的研究探索与护理服务升级。凭借这笔重要资金,该基金会成为Dana-Farber在转移性乳腺癌研究方面最大的...
什么是肺癌2期?分期和关键事实肺癌分期系统较为复杂,不过通常会综合考量肿瘤大小、淋巴结受累情况以及有无远处转移等因素。 对于非小细胞肺癌: 肿瘤较小且局限情况:若肿瘤直径小于3厘米,尚未侵犯周围重要结构,且未扩散至淋巴结,一...
FDA接受Padcev Plus Keytruda用于某些膀胱癌症患者的申请美国食品和药物管理局(FDA)已受理Lenvima(lenvatinib mesylate)联合Opdivo(nivolumab)作为术前(新辅助)治疗的补充新药申请(sNDA),并将其作为不符合卡铂化疗条件的局部进展期胰腺癌(LAPC)患者的术后...
-
美国国家儿童医院 美国国家儿童医院对爱诺美康转诊资质的认证。
-
西达赛奈医疗中心 西达赛奈医疗中心对爱诺美康转诊资质的认证
-
皇家马斯顿医院 爱诺美康与皇家马斯顿医院达成服务共识。
-
加州大学洛杉矶分校医学中心 加州大学洛杉矶分校医学中心(UCLA Health)与爱诺美康签署正式合作协议。
-
丹娜法伯癌症研究院 丹娜法伯/布列根和妇女医院癌症中心对爱诺美康转诊资质的认证。
-
麻省总医院(1) 麻省总医院对爱诺美康转诊资质的认证(NO.1页)。
-
麻省总医院(2) 麻省总医院对爱诺美康转诊资质的认证(NO.2页)。
-
辛辛那提儿童医院 辛辛那提儿童医院(美国2018-2019儿童肿瘤排名NO.1)对爱诺美康转诊资质的认证。

MD安德森癌症中心
丹娜法伯癌症研究院
辛辛那提儿童医院
克利夫兰医学中心
纪念斯隆凯特琳癌症中心
Mayo Clinic 梅奥诊所
麻省总医院
肺癌
乳腺癌
结肠癌
淋巴瘤
肉瘤
宫颈癌
卵巢癌
脑瘤
奥希替尼耐药,只剩3个月生存期,“笨办法”让我再次用上肺癌靶向药
晚期乳腺癌生命只剩6个月,她能逆袭吗?
为了多活10年,我带妈妈去美国治疗淋巴瘤
不认命 我带父亲去麻省总医院看肺癌
成功可以复制,美国这家医院再次治好晚期乳腺癌
肿瘤复发,我去美国看病的日子
北京淋巴瘤患者赴美治疗后,体内癌细胞完全消失
疫情之下,美国肿瘤专家弛缓晚期肠癌患者