肺癌影像学检查什么内容
发布日期:2019.11.29 11:15:12
肺癌影像学检查
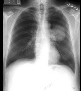
胸部X线片
>孤立性肺结节
-可表现为边界清楚的、圆形肺阴影
-直径<3cm -边缘毛刺或不清
-厚壁空洞
-所有类型的钙化表现倾向于良性病灶,除偏心性或散在点状钙化外
>肺门肿块
-中央型肺癌表现为肺门区域阴影
-淋巴结转移表现为肺门肿块突向周围肺组织
>阻塞性肺炎
-节段性或非节段性分布的密度不均或斑片状实变
-空气支气管征和空气肺泡征可发生于腺癌和支气管肺泡癌
>支气管狹窄
-支气管病灶常导致部分或完全肺叶不张
-常由非小细胞癌腔内生长导致
-可发现主支气管狭窄或完全堵塞
>纵隔淋巴结肿大
-纵隔增大
-右侧气管旁条纹影增加
-纵隔边缘凸起
-主肺动脉窗凹面消失
-隆突分叉增大

注:因CT扫描的普及现较少使用X线片

CECT(增强对照CT)
>腺癌
-结节(毛刺、分叶),胸膜尾征(胸膜凹陷征)
-有不规则、模糊、毛刺等特点的周围型结节中超过90%为恶性
-CT密度有助于鉴别良恶性病灶
>细支气管肺泡癌(BAC )
-磨玻璃样结节(GGO);实性;混合/半实件(实性和磨玻璃样);空气支气管征/囊性或皂泡状
-以下特征倾向于恶性
>1Cm、体积增大、混合性结节内实性成分增大
GGO内实性成分增大
粗毛刺
圆形
>鳞状细胞癌
-结节、典塯空洞(尤其是壁厚>15mm)
>大细胞癌
-周围型大肿块伴有坏死
实验室检查
>病理学检查:中央嘲肿块需行支气管镜检查,周围塑肿块需行CT引导下穿刺
>全血细胞险查,尿素氮和肌酐,肝功能险查,喊性磷酸酶,乳酸脱氢酶
非小细胞肺癌分期和重新分期CECT:从胸廓人口至肾上腺,需包括肝脏在内 >评估原发灶范围-大小-肿块侵及范围(常需支气管镜确诊)-侵犯主支气管、脏层胸膜;继发性部分肺不张或阻塞性肺炎-...
下一篇:肺癌临床表现和病情检查肺癌临床表现和病情检查原发灶引起的症状>中央型肿块多为鳞状细胞癌 -咳嗽、呼吸困难、伴有哮鸣音、咯血 >九多数周围型肿块为腺癌或大细胞癌 -咳嗽、呼吸困难-侵犯胸壁或胸腔积液引起...
肺癌分期系统较为复杂,不过通常会综合考量肿瘤大小、淋巴结受累情况以及有无远处转移等因素。 对于非小细胞肺癌: 肿瘤较小且局限情况:若肿瘤直径小于3厘米,尚未侵犯周围重要结构,且未扩散至淋巴结,一...
STELLAR-303试验:扎扎林替尼/阿替利珠单抗治疗转移性CRC效果显著在针对转移性结直肠癌(CRC)的开放标签3期STELLAR-303试验中,对相关治疗数据进行了详细分析,结果显示扎扎林替尼联合阿替利珠单抗的治疗方案展现出一定优势。 一、试验基本情况 本次试验共纳入901名经记...
Atezolizumab + mFOLFOX6 能改善 dMMR 结肠癌的 DFS根据在2025年ASCO年会上的新闻发布会上公布的3期ATOMIC试验(NCT02912559)的结果,将atezolizumab (Tecentriq)添加到mFOLFOX6(改良奥沙利铂、亚叶酸钙和氟尿嘧啶)中作为辅助治疗III期错配修复缺陷(dMMR)结...
阿达格拉西布联合派姆单抗能治疗患者 KRAS G12C+ NSCLC2025年ASCO年会上公布的KRYSTAL-7 2期试验(NCT04613596)数据显示,阿达格拉西布(Krazati)联合派姆单抗(Keytruda)在KRAS g12c突变型非小细胞肺癌(NSCLC)患者中产生了疗效和生存信号。根据研究者评估,所有...
Nivolumab 在晚期 RCC 中能维持生存期并产生持久反应根据在2025年ASCO年会上提交的3期CheckMate-214试验(NCT02231749)的最终数据,与舒尼替尼(Sutent)相比,Nivolumab (Opdivo) + ipilimumab (Yervoy)作为一线治疗,在未接受治疗的晚期肾细胞癌(RCC)患者中...
-
美国国家儿童医院 美国国家儿童医院对爱诺美康转诊资质的认证。
-
西达赛奈医疗中心 西达赛奈医疗中心对爱诺美康转诊资质的认证
-
皇家马斯顿医院 爱诺美康与皇家马斯顿医院达成服务共识。
-
加州大学洛杉矶分校医学中心 加州大学洛杉矶分校医学中心(UCLA Health)与爱诺美康签署正式合作协议。
-
丹娜法伯癌症研究院 丹娜法伯/布列根和妇女医院癌症中心对爱诺美康转诊资质的认证。
-
麻省总医院(1) 麻省总医院对爱诺美康转诊资质的认证(NO.1页)。
-
麻省总医院(2) 麻省总医院对爱诺美康转诊资质的认证(NO.2页)。
-
辛辛那提儿童医院 辛辛那提儿童医院(美国2018-2019儿童肿瘤排名NO.1)对爱诺美康转诊资质的认证。

MD安德森癌症中心
丹娜法伯癌症研究院
辛辛那提儿童医院
克利夫兰医学中心
纪念斯隆凯特琳癌症中心
Mayo Clinic 梅奥诊所
麻省总医院
肺癌
乳腺癌
结肠癌
淋巴瘤
肉瘤
宫颈癌
卵巢癌
脑瘤
奥希替尼耐药,只剩3个月生存期,“笨办法”让我再次用上肺癌靶向药
晚期乳腺癌生命只剩6个月,她能逆袭吗?
为了多活10年,我带妈妈去美国治疗淋巴瘤
不认命 我带父亲去麻省总医院看肺癌
成功可以复制,美国这家医院再次治好晚期乳腺癌
肿瘤复发,我去美国看病的日子
北京淋巴瘤患者赴美治疗后,体内癌细胞完全消失
疫情之下,美国肿瘤专家弛缓晚期肠癌患者